View the embedded image gallery online at:
https://www.zbinetworkemea.com/fracture/index.php/case-library/vancouver-c-complex/item/174-case-3#sigProIdfcd6101f17
https://www.zbinetworkemea.com/fracture/index.php/case-library/vancouver-c-complex/item/174-case-3#sigProIdfcd6101f17
Case 3
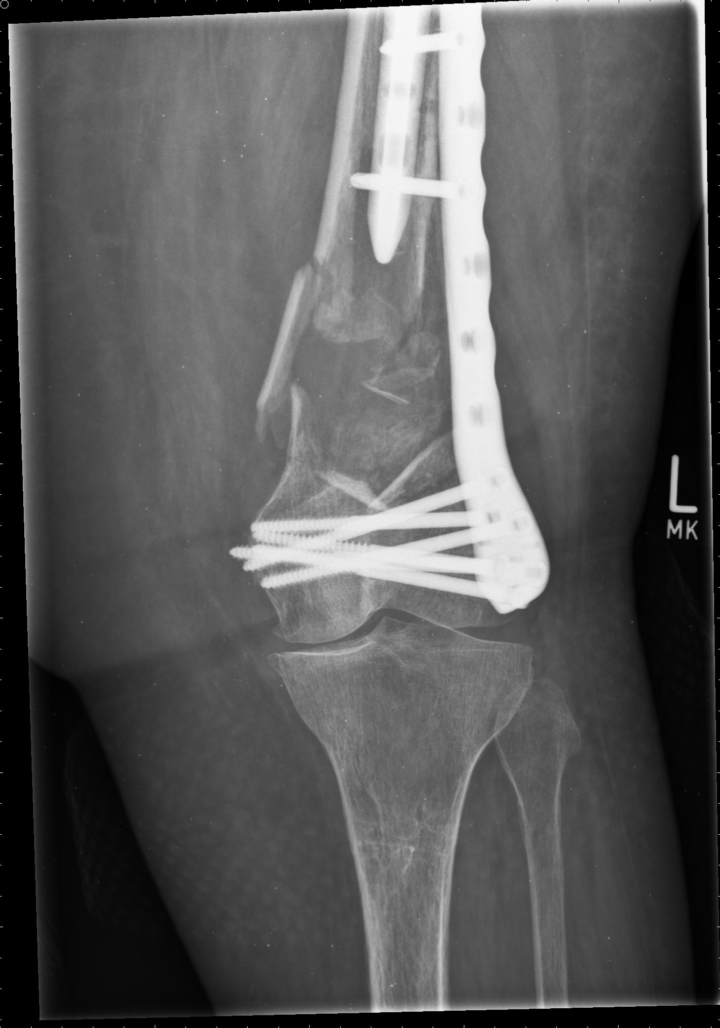
This 81 year old patient suffered from a Vancouver C ; OTA 33 A1 fracture pattern.
The fracture was reduced and fixed in a mini open technique by cerclage and an NCB Distal Femur plate. In the presented case the plate could have been longer in order to overlap the stem of the hip prosthesis at minimum 3-4 cm. Nevertheless the fracture healed uneventfully.
Provided by Prof. Dr. Steffen Ruchholtz, University Hospital Marburg, Germany