View the embedded image gallery online at:
https://www.zbinetworkemea.com/fracture/index.php/case-library/vancouver-c-complex#sigProIdb309891c10
https://www.zbinetworkemea.com/fracture/index.php/case-library/vancouver-c-complex#sigProIdb309891c10
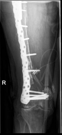
Case 1
89 year old female patient with a Vancouver C Type fracture; OTA fracture pattern 32 A 2.
Overall 3 periprothetic fractures after THR 1998
1. 2001 distal fracture treated with dynamic condylar screw and PMMA cement
2. 2011 a Vancouver B1 fracture has been treated with removal of distal plate and proximal angle stable plating with cerclage wires.
3. 2013 The old implant has been removed and the fracture bridged with a long NCB distal Femur plate. A sufficent overlap of the hip stem could be achived with bicortical screw fixation around the stem
Provided by Prof. Dr. Peter Schandelmaier
Klinik für Unfallchirurgie, Orthopädie und Handchirurgie
DONAUISAR Klinikum Deggendorf